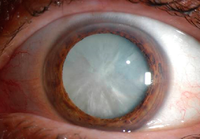
What Is a Cataract ?
A cataract is a clouding of the lens of your eye. With increasing age, proteins in your lens begin to break down and the lens becomes cloudy. You may not even realize you have a cataract because it usually grows very slowly and may not impede vision early on. While cataracts are rarely dangerous, after a number of years they will likely affect vision. . A cataract is not caused by overuse of your eyes and it does not travel from one eye to the other.

Symptoms
- A decrease in the clarity of vision that is not correctable with glasses
- Colors that appear faded or washed out
- Sensitivity to light, glare, and halos around lights
- Frequent changes to eyeglass prescriptions
Causes
- Age-related---This is the most common kind of cataract. There are three subclassifications, based on location: nuclear, cortical, and posterior subcapsular.
- Congenita---Although it is not common, some babies are born with cataracts or develop them within the first year of life.
- Traumatic---This type of cataract results from an injury to the eye.
- Secondary---This is a cataract that is caused either by medications (most commonly prednisone or other corticosteroids) or disease, like diabetes. Cataracts are 10 times more common in diabetic patients than in the general population.
Risk Factors
- Aging
- Heavy drinking
- Smoking
- Obesity
- High blood pressure
- Previous eye injuries
- Family history
- Too much UV light (sun) exposure
- Diabetes
- Exposure to radiation from x-rays and cancer treatments
Tests and Diagnosis
Cataracts can be diagnosed by your eye doctor during a dilated eye exam. You may also have your vision checked in different lighting conditions and with an updated glasses prescription. A complete eye exam is necessary to determine if anything else is contributing to your visual symptoms.
Treatment and Drugs
Once cataracts have formed, the only treatment is surgical removal of the cataract and replacement with an artificial lens. There are different types and powers of lenses that your surgeon can implant during surgery, including lenses that help correct astigmatism.


After surgery, your need for glasses will often be reduced, but not eliminated. You and your surgeon will discuss which implant lens type and power is the right choice for you. Medications cannot be used to treat a cataract. Surgery is typically performed under local anesthesia. When the cataract has become severe enough that it compromises your quality of life, you and your ophthalmologist will discuss the appropriate time to remove it.